



An ulnar collateral ligament injury of the thumb occurs when the thumb is forcibly stretched away from the hand causing a strain, partial or full thickness tear of the ligament or an avulsion fracture.

Photo source: Hand and Wrist Institute
A physical assessment of the thumb is required to determine if there is any laxity of the thumb metacarpophalangeal joint in comparison to the uninjured thumb.
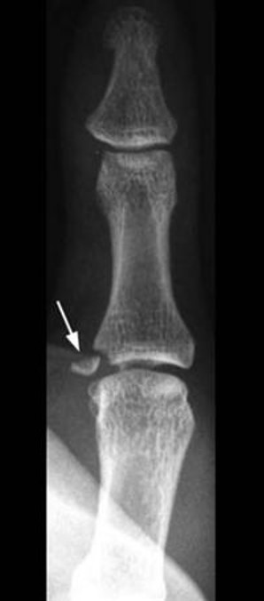
An x-ray is usually recommended to confirm if a fracture is present. An ultrasound or MRI may also be used to confirm the extent of the injury to the ulnar collateral ligament.

Ulnar collateral ligament avulsion fracture
Photo source: Orthobullets
A referral to a hand therapist should be made as soon as the injury is diagnosed, preferably within 7 days post-injury. If there is a large avulsion fracture, a referral to a hand surgeon is recommended as soon as possible.
